百岁老人摔倒致髋部骨折,入院24小时内手术,术后次日即下地康复锻炼
——我院创伤外科再创高龄患者快速康复新纪录

来源:骨科 发布时间:2025-09-12 19:37:50 浏览次数: 【字体:

近日,一位99岁高龄的杨婆婆在家中不慎摔倒,导致左髋部受伤。家属紧急拨打120将其送至我院急诊科,经CT检查确诊为“股骨粗隆间骨折”。面对如此高龄且病情危急的患者,创伤外科迅速启动绿色通道,多学科协作机制即刻响应:手术医生、护理团队、麻醉科、康复医学科等多学科团队共同介入,全面评估老人身体状态,制定个性化手术方案与康复计划。

 e28e689678d24973be50be8752afc310.png

图1:杨婆婆意外摔倒致左髋部股骨粗隆间骨折

 

时间就是生命!在入院第二天上午,手术团队不到30分钟就顺利完成骨折闭合复位内固定术,术中出血仅80毫升,以高超医术降低手术创伤。

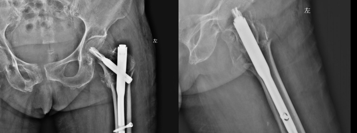
 1eaac1c39f18405aad517f73e3c42b2b.jpg

图2、图3:顺利完成骨折闭合复位内固定术

 

术后次日,遵循加速康复外科(ERAS)理念,在康复团队的指导和鼓励下,杨婆婆于术后24小时内即开始康复干预,包括肌力增强、平衡训练及早期负重训练。术后第5天,杨婆婆平安出院回家休养。

80cefcfdb32445f4b16f0be460546509.png

图4:杨婆婆于术后24小时内即开始康复干预


据统计,我国老年人髋部骨折后一年内死亡率可高达20%–30%。能否在48小时黄金救治窗口期内完成手术,直接关系着高龄患者的生命健康。我院创伤外科十余年来,积极推行加速康复外科(ERAS)理念,并持续优化“老年髋部骨折救治体系”,将平均术前等待时间从3.3天缩短至1.65天,平均住院日从10.7天降至6.8天。至今已完成数百例高龄患者髋部骨折手术,患者平均年龄达82.2岁。

这一切的背后,是我院以患者为中心、多学科联动的快速响应机制与精湛医疗水平的集中体现。我们不仅治疗骨折,更守护生命尊严,让高龄患者也能有质量、有希望地恢复健康!


投稿:骨科吴灿

编辑:宣传科

美编:宣传科

初审:骨科、宣传科

审核:朱渝


终审:张玲玲
分享到:
【打印正文】