红斑、溃疡、关节痛:何为“丝绸之路病”

来源:中医(风湿)科 发布时间:2025-09-12 19:30:40 浏览次数: 【字体:

57岁的徐女士(化名),十多年来饱受关节疼痛的折磨。她的双膝、双踝关节反复肿胀疼痛,晨起时手关节僵硬,她曾以为自己只是得了“类风湿关节炎”,予以止痛药后减轻,却始终未得到明确诊断和系统治疗。

直到一个月前,关节肿痛的症状急剧加重,她才前往我院中医(风湿)科就诊。医生发现她不仅有关节肿痛,还伴有反复口腔溃疡和下肢红斑——这些细节,成了揭开真相的关键线索。

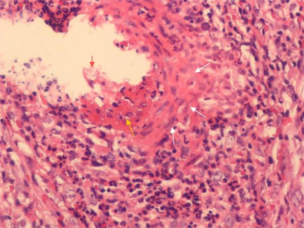
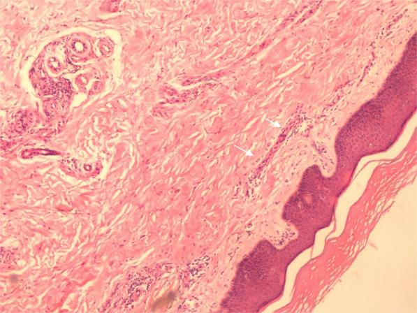
初步检查显示,类风湿因子、抗核抗体谱等指标均正常,排除了典型类风湿关节炎、系统性红斑狼疮等导致。而下肢红斑处皮肤活检更是揭示出重要发现:考虑皮肤血管炎,抗酸染色(-)。

结合患者反复口腔溃疡、下肢红斑、关节症状和病理结果,解开了十年疼痛的谜底:白塞病(Behçet's disease,BD)!在给予激素和免疫抑制剂治疗后,患者病情逐渐缓解。

70f6c12c44df44b49f6797822f44bfab.png

 eb2d96dd971f4ff09b693515dcb0056e.png

78f14d99ca654e368b0515ee6a0e20c7.png


白塞病(Behçet’s Disease),也称“贝赫切特综合征”,是一种以全身性血管炎症为核心的慢性炎症疾病。其本质是免疫系统异常激活,攻击自身血管壁,导致多器官、多系统受累。该病具有复发-缓解交替的特点,且因为该病在日本、中国、土耳其、伊朗等丝绸之路沿线国家的发病率较高,又被称为“丝绸之路病”。

白塞病之所以容易被误诊,原因在于它的症状多样。主要表现为反复发作的口腔溃疡、生殖器溃疡、葡萄膜炎和皮肤损害,亦可累及心脏及大血管、神经系统、胃肠道、关节等器官,易被误诊为类风湿关节炎、红斑狼疮或复发性口腔溃疡等。

血管炎是其核心病理改变,可发生在任何大小的血管,导致多器官损害,模拟多种疾病发病特点,临床表现多样。

首先是基本三联征,也就是反复口腔溃疡、生殖器溃疡、眼部炎症(葡萄膜炎、视网膜血管炎)。

第二,皮肤表现:结节性红斑、痤疮样皮疹、针刺反应阳性

第三,关节表现:非侵蚀性关节炎,多见于膝、踝、腕关节

第四,血管受累:动静脉血栓、血管瘤、动脉瘤

第五,神经系统:头痛、脑膜炎、运动障碍(神经白塞)

第六,消化道:腹痛、腹泻、溃疡(肠白塞)

第七,其他:肾脏损害、附睾炎、心肺受累

白塞病的危害主要有:

1.累及血管可导致血栓、动脉瘤破裂,危及生命;

2.眼部炎症控制不佳可致失明;

3.神经系统受累可引起认知障碍、瘫痪;

4.消化道溃疡可肠穿孔、出血;

5.关节反复炎症可致功能障碍,影响生活质量。

那么面对这项疾病,我们应当如何做到“早发现,早治疗”呢?当出现以下两项及以上症状时,应高度警惕白塞病:

1.每年反复发作≥3次的口腔溃疡;

2.生殖器溃疡;

3.眼部红肿、疼痛、视力下降;

4.皮肤红斑、结节、痤疮样皮疹;

5.关节肿痛+口腔/皮肤/眼部症状;

6.不明原因的血管栓塞或动脉瘤。

 

在白塞病的诊断上,我们目前主要依据临床表现结合排除性诊断,尚无特异性生物标志物或病理组织学特征。对于大多数白塞病患者,通过规范治疗后可控制病情、正常生活,但重要器官受累者预后较差,需终身随访,定期评估眼部、血管、神经系统状态。

白塞病是罕见病之一,症状隐匿、表现多样、多系统受累,易被误诊。但随着对疾病的认知提高和诊疗技术的不断进步,早发现、早诊断、早治疗是改善预后的关键,希望大家一旦出现上述症状及难以解释的多系统症状,请及时至风湿免疫科就诊。


投稿:中医(风湿)科

编辑:宣传科

美编:宣传科

初审:中医(风湿)科、医务科、宣传科

审核:朱渝


终审:张玲玲
分享到:
【打印正文】