【“医”线守护】精准诊疗 拨开迷雾
——我院运用并开展冠脉激发试验为“冠脉造影正常”的胸痛 患者明确诊断
在心血管内科,有一种胸痛常常“来去无踪”,让患者饱受折磨,却又让医生在常规检查中“查无实据”。近期,我院心血管内科常规运用国际公认的诊断“金标准”——冠脉激发试验,为多例冠脉造影“正常”的患者明确了病因,开启了精准治疗的大门。这标志着我院在非阻塞性冠状动脉疾病诊疗领域迈入新阶段。
典型病例:当“正常”造影遇上“致命”胸痛
患者冉先生(化名),63岁,因“反复胸痛1月,加重1小时”紧急入院。其胸痛多在凌晨或静息时发作,疼痛剧烈,伴有大汗。入院时心电图显示前壁导联ST段抬高,高度怀疑急性心肌缺血。情况危急,我院胸痛中心团队立即启动绿色通道,为患者行急诊冠状动脉造影。
然而,造影结果却出人意料:冉先生的冠状动脉各主要分支均未见明显狭窄或阻塞。症状与影像结果不符,诊断陷入僵局。结合患者“静息时发作、硝酸甘油可迅速缓解”的典型特征,心血管内科专家团队高度怀疑其病因为冠状动脉痉挛。为了获得确凿证据,经与患者及家属充分沟通,团队决定在导管室内为其实施麦角新碱冠脉激发试验。
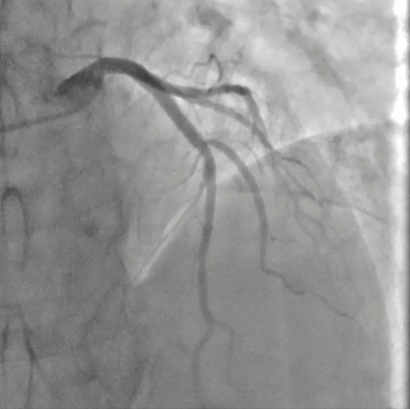
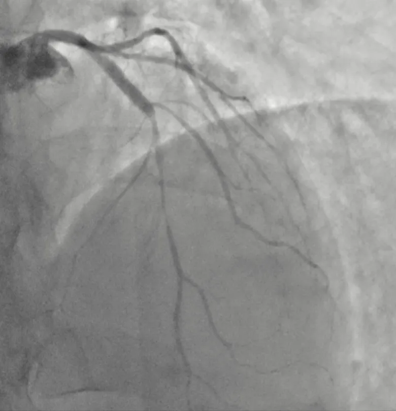
试验过程严谨有序:在持续心电、血压监测下,医生经导管向左冠状动脉内缓慢推注麦角新碱。药物推注后约1分钟,患者立即再现了与入院时相同的胸痛,与此同时,监护心电图再次显示前壁导联ST段改变。冠脉造影实时影像清晰地显示:患者的前降支冠状动脉出现严重的弥漫性痉挛,管腔直径狭窄超过90%,几近闭塞(右冠状动脉激发试验阴性)。“罪魁祸首”在镜头下原形毕露!团队立即经冠脉注入硝酸甘油,痉挛迅速解除,血管恢复通畅,患者胸痛随之消失,心电图也恢复正常。
至此,一例典型的“变异型心绞痛”(冠状动脉痉挛所致)被明确诊断。从“无异常”到“重度痉挛”,动态的造影影像和心电图变化构成了诊断的铁证。
拨开迷雾:认识隐匿的“血管杀手”——冠状动脉痉挛
冉先生的病例并非个例。杨坤主任医师介绍说,冠状动脉痉挛(CAS)是一种因冠状动脉血管壁异常、过度收缩导致心肌缺血的病理状态。它并非总在造影时“现身”,因此极易漏诊。数据显示,在接受冠脉造影检查的胸痛患者中,约有40%-60%未发现导致症状的严重狭窄(即非阻塞性冠脉疾病,INOCA),而其中很大一部分患者的“真凶”就是冠脉痉挛。

图:冠脉造影基础状态

图:冠脉激发试验后

图:硝酸甘油200ug注射后
它可能导致什么?
冠脉痉挛的临床表现多样,从典型的变异型心绞痛(静息时发作,ST段抬高),到可诱发急性心肌梗死、严重心律失常甚至心脏性猝死,危害不容小觑。
如何确诊?
常规心电图、动态心电图虽能提供线索,但冠脉内药物激发试验(如麦角新碱)是目前国际公认的诊断“金标准”。它通过在可控条件下诱发痉挛,从而“捕获”确凿证据,适用于临床高度怀疑但常规造影阴性、或不明原因心脏骤停复苏后的患者。
激发试验安全吗?
在严格掌握适应症、排除禁忌症,并由经验丰富的团队在具备完整抢救条件的导管室内规范操作下,该检查是相对安全的。大规模研究证实,其严重并发症发生率极低。
我院的实践与承诺
诊断的成功,得益于我院心血管内科团队对前沿诊疗技术的敏锐把握和娴熟应用。我们不仅拥有先进的硬件设备,更建立了规范、安全的激发试验操作流程与应急预案。从“看到血管”到“读懂血管的功能”,我们致力于为每一位胸痛患者提供精准的病因诊断。
未来,我院将继续深化和推广此项技术,让更多被不明原因胸痛所困扰的患者能够拨开诊断的迷雾,找到真正的病因,接受针对性治疗,重获“心安”生活。我们以精准医疗为矛,以规范安全为盾,全心守护您的心脏健康。
- END -
供稿丨心血管内科 李丽
编辑丨宣传科
美编丨宣传科
初审丨杨坤
复审丨朱艳
终审丨朱渝




账号+密码登录
手机+密码登录
还没有账号?
立即注册