【学科强院】三面锦旗映初心 多学科联手解危难
近日,重庆医科大学附属巴南医院(重庆市巴南区人民医院)普通外科(胃肠)的医护人员收到一份特殊礼物——一位患者出院10天后,委托家属专程送来三面锦旗,字字滚烫,诉说着一场跨越生死的健康守护。



患者40天无法正常进食,体重暴跌40斤
患者文先生,56岁,两月前因不明原因出现腹痛、腹胀、呕吐,辗转市内多家大型医院,多次检查均考虑为胃十二指肠溃疡导致幽门狭窄,但经过1个多月的治疗,患者病情无缓解,一直未能正常进食,体重骤降近40斤,从体态肥胖变得消瘦。患者及家属遭受极大痛苦和焦虑,30天前经亲友推荐,转到我院普通外科(胃肠)住院治疗。
患者病情危急,医院“零缴费”先救人
患者来院时明显消瘦,已出现言语欠清。徐永鸿主任医师及郑皓主治医师立即查看患者,结合病史及外院资料,考虑患者胃潴留原因不明,并发严重营养不良、严重水电解质紊乱、中度贫血、低蛋白血症等相关代谢性疾病,且同时存在冠心病、骨关节炎等基础疾病,长期服用阿司匹林、止痛药物,并有长期饮酒史,病情复杂危重。徐永鸿主任医师指示立即予胃肠减压防止误吸,静脉营养、纠正水电解质紊乱,警惕代谢性脑病、再喂养综合征等的出现。因患者为单身、困难家庭,科室按照龙结根主任的指示,快速为其办理“零缴费”入院,并积极鼓励患者缓解精神压力。
多学科联手解危难
面对疑难病例,医院立即启动多学科会诊(MDT),普通外科(胃肠)联合消化内科、麻醉科、疼痛康复医学科、中医科、心血管内科、骨科、放射科、超声科、临床营养科等多个学科,为患者制定精细诊疗方案。经消化道造影及复查胃镜明确诊断,患者为非甾体抗炎药(NSAIDs)相关胃十二指肠溃疡致十二指肠重度狭窄(最窄处仅容针尖通过),同时继发了肠系膜上动脉综合征及一系列代谢性疾病,治疗难度极大、住院时间长、风险高。


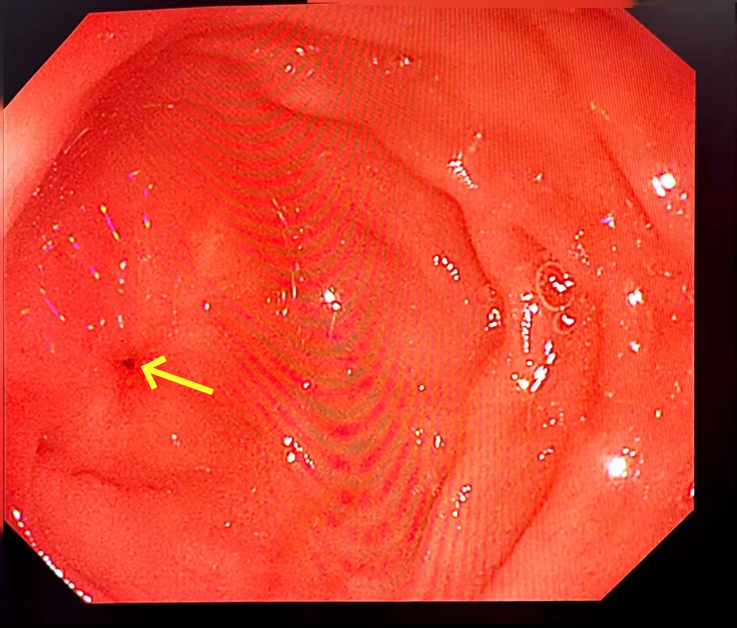
患者肠腔狭窄仅针尖大小(箭头所示),CT亦提示局部结构紊乱不清,基础身体状况较差;无论内镜治疗或外科治疗均存在风险。郑皓医生与患者及家属进行详细病情沟通,患者家属表示积极配合治疗。普通外科(胃肠)及消化内科医疗团队迎难而上,制定个体化救治方案:先后实施2次高风险十二指肠球囊扩张术,配合静脉营养、空肠营养治疗、中医特色治疗,并予以进食后保持俯卧位等护理指导。鉴于患者已行多次CT及消化道造影,主治医师考虑射线辐射等问题,联合超声科为患者行超声造影检查,评估胃动力及胃排空。经过20天昼夜守护,成功规避再喂养综合征、代谢性脑病、误吸等致命并发症,闯过一道道生死关卡。出院时,患者体重较入院时增加3.5kg,胃肠功能完全恢复;出院一周随访,状态持续向好,生活逐步回归正常。三面锦旗,是患者的感恩,更是医者的担当。重庆医科大学附属巴南医院将持续发挥多学科协作优势、精湛诊疗技术与人文关怀,为百姓健康筑牢防线。
专家科普

龙结根
民进会员 民进巴南区人民医院支部主委
普通外科(胃肠) 副主任 (主持工作)
副主任医师
医学硕士,毕业于重庆医科大学,曾在重庆医科大学附属第一医院进修学习。长期从事普外科临床、教学及科研工作,擅长普外科常见疾病的诊治,尤其擅长胃肠道肿瘤(胃癌、结直肠癌、消化道间质瘤)等的诊治,对胃肠道肿瘤的腹腔镜手术造诣颇深(如腹腔镜下胃癌根治术、腹腔镜下结直肠癌根治术、腹腔镜下超低位直肠癌保肛手术、腹股沟疝手术、切口疝修补手术等)。参与完成厅局级项目二项,区级科研一项,先后在专业期刊上发表论文13篇(其中科技核心期刊8篇、北大核心期刊2篇、CSCD2篇、SCI1篇)。
非甾体抗炎药(NSAIDs)为何伤胃?
NSAIDs抑制环氧化酶(COX)活性,前列腺素(PG)对黏膜上皮具有保护作用。长期使用NSAIDs致使PG合成不足,削弱了黏膜的抵抗力,这是NSAIDs造成胃十二指肠损伤的重要因素。长期服用NSAIDs是导致消化性溃疡的重要因素,其中胃十二指肠溃疡发生率为15%~40%。
如何预防?
✅坚决戒酒:酒精被列为1类致癌物,长期饮酒严重损伤胃肠、肝脏等多器官,大幅增加消化道疾病与癌变风险。
✅切勿滥用止痛药:非甾体类止痛药(“头痛粉”、阿司匹林、布洛芬等)易引发胃十二指肠溃疡、出血、狭窄等严重胃肠损伤,需在医生指导下规范使用。
- END -
供稿丨普通外科(胃肠) 李登位
编辑丨宣传科
美编丨宣传科
初审丨龙结根
复审丨朱艳
终审丨朱渝




账号+密码登录
手机+密码登录
还没有账号?
立即注册